bike-forum.cz
Největší web o kolech
Přihlášení
•
Registrace
Magazín
Forum
Bazar
Foto
Kalendář
Navigace
Bike-forum.cz
Foto
Pády
Pády
Přidat foto
Fotky z akcí
Ostatní
Lidi
Vyjížďky
Pády
Bikeři v akci
Kola a komp
Naše biky
Hledání v našich bajcích
Hledat v textu
Hledat v
Název kola/značka/model/rok
Velikost
Hmotnost
Rám
Vidlice
Tlumič
Hlavové složení
Kliky
Středové složení
Přesmykač
Měnič
Řazení
Převodník
Kazeta
Řetěz
Náboj přední
Náboj zadní
Brzda přední
Brzda zadní
Brzdové páky
Ráfek přední
Ráfek zadní
Dráty
Pedály
Řídítka
Představec
Sedlovka
Sedlo
Pláště
Kategorie
- vyberte -
Cyklokrosová kola
Full/Celopéra
Silniční kola
Hardtail
Sjezd, free, BMX kola
Horská kola
Treková kola
Dětská kola
Elektrokola
Ostatní
Hledat
Řadit dle:
Nové fotky
Nové komentáře
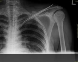
Takhle padá mistr:-)
Meluzina
4
R.I.P.
jirkas
52
jeseníky 2013
silvar
22
POC pryč...
kopečák1
27
Pohled...
lodyh
54
Jsem si trochu vy...
Dag
29
Nehoda malého cyk...
Meluzina
15
Nic pěknýho
kryptxtron
13
Jizvička 2
orm
14
Poprvé pořádně kopla
geminus
17
Prasklá vidla
vovta
14
Zakončení sezony...
Lennice
21
Dalši dve do sbirky
nox159
27
Jedna letní
vojta1616
11
Nekočíroval jsem :D
BigKarel2
9
šroubek:)
vitan
13
Single Trekování
orm
18
Michal
Dijck
17
Jak oslnit
zipoman
9
Pravá holeň
bipedbones
13
zrazka s autom
srebalat
22
Jundrovsky kopeče...
Rora
4
Zillertal 2011
Rora
2
Merida 96
Crate
25
po hlavě
terkad
15
pokracovani :)
nox159
10
A je po všetkom :)
HELLBOY22
8
nox dojezdil...
nox159
49
konec sezony
prtavec
10
karambool
firegon
5
přesmykač
henry014
6
Oko
White2146
6
Retro bike neposl...
M13
11
pro Lojzu
indoorajn
0
ruply rodla
indoorajn
19
Patka Cannondale
romachain
12
Cedric Gracia
ZuzicK
22
Zlomené RB a klíč...
tachmude
37
Luxusní osma
Norri
8
Rock n' roll
Norri
5
uplně nové kolo
blisterexist
46
Taky uz mam kerku
Tommy_Lee
1
Když půjčíš holce...
Meneldor
20
Zametal jsem chodník
Nashai
5
od převodníku
Jamin
15
Giro Havoc, R.I.P.
Schyzza
2
převodníky
Berny
19
Silniční lišej
RSV
12
První letošní pád
vlastik72v
6
GOT METAL WINGS
Baba-Ji
12
in mother russia ...
str8czek
10
Památka na Gardu
C.A.C
9
Drátenice
Kluzák
8
Masaker
mathosh
10
To dřevo dneska n...
RomanM1
17
Momentka
TomT
14
crash
pižmoň
25
Nedobrovolný otes...
Kubas.1
16
Dojezdil
červajzz
15
Moje paní umí par...
pivos
13
První
1
2
3
4
5
6
7
8
9
10
Další
Poslední
Rychle nahoru
Bike-Fórum
Fórum
Bazar
Foto
Magazín
Přihlásit
Zaregistrovat
Podmínky užití a informace o zpracování osobních údajů
Reklama na Bike-fórum
Kontakt
Facebook
MTBIKER Shop
Jízdní kola
Elektrokola
Komponenty
Pláště a duše
Vypletená kola a ráfky
Tretry a obuv
Oblečení a batohy
Příslušenství
Přilby
Cyklotrenažery
Servis a nářadí
Výživa a kosmetika