letos malá nájezdová rychlost

Přidat foto

příště v květnu jezdím už jen silnici :o)

(vloženo 13.5.11)

Komentáře

Pro zobrazení diskuse se prosím přihlaste nebo zaregistrujte.
drbo
drbo

23.5.11 19:46

no tak sezonu budes asi muset dohnat nekde venku v teple ;-)

Reagovat
lenochod
lenochod

13.5.11 12:47

blue: nestraš, to už snad ne

Reagovat
lenochod
lenochod

13.5.11 12:43

drbo: počítám první šlápnutí konec června začátek července – šotolinka na Nomadovi, pak třeba silnice a když to klapne, stihnu zavíračku na DH

Reagovat
blue

13.5.11 12:30

takže zbejvá ještě otagovat Blur LT a Pinarello :-)

Reagovat
drbo
drbo

13.5.11 10:57

kdy samani predpokladaj tvuj navrat ?

Reagovat
Debustrol
Debustrol

13.5.11 09:33

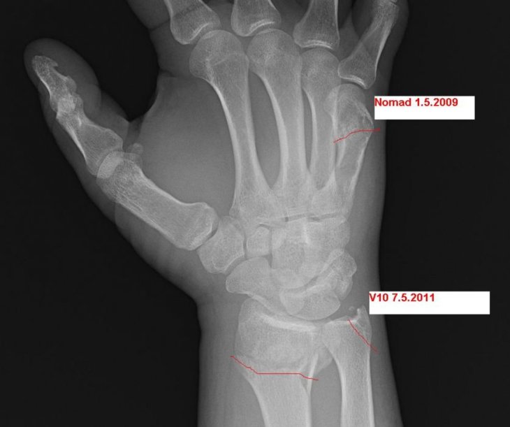
Heh úplně stejná zlomenina jako, akorát jsem měl kosti víc rozjetý od sebe. Zápěstí je hnus, tak ať ti dobře dopadne…

Reagovat
Pedro404
Pedro404

13.5.11 09:10

No to mě *****, ta nová fraktura je nemlich ta samá jako u mě.

Reagovat
MirosPikos
MirosPikos

13.5.11 08:28

Nebyl si s tím u kováře? :) Jinak upřímnou soustrast…

Reagovat
Pi†el
Pi†el

13.5.11 08:24

slusna prace

Reagovat
lenochod
lenochod

13.5.11 07:57

Křivý? Určitě né. Říkali jak je to krásně rovný. Je vidět že zedničit by někteří lékaři nemohli :o)

Reagovat
Dav...1
Dav...1

13.5.11 07:33

Po tom Nomadovi to mas srostle spravne ? Prijde mi to nejake krive :D

Reagovat

Další galerie z kategorie

michal1968 75
chemik 10
vik 31
Láža1 16
kocers 56
Tommy_Lee 6